Новосибирские врачи удалили 17-летнему пациенту больную почку. Она воспалилась и увеличилась до размеров пятилитровой бутылки! Такая новость недавно поразила жителей области. «АиФ в Новосибирске» узнал, как у здорового подростка появилось такая патология, можно ли было избежать удаления и как теперь сложится жизнь юноши без органа.
«Счастливая» находка
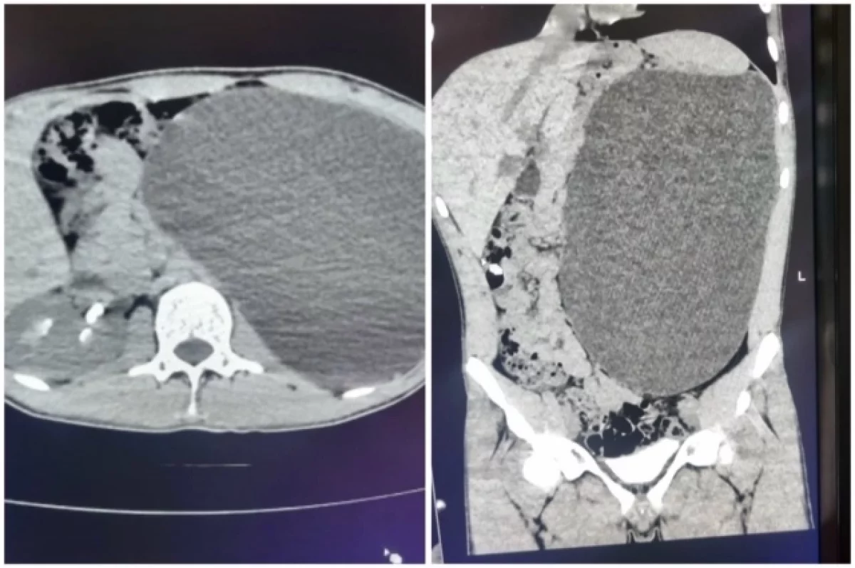
О болезни Михаил (имя изменено) узнал совершенно случайно. Он не испытывал никаких неприятных симптомов или недомогания, просто жил, планировал устроиться на работу, и для этого записался на профосмотр. Но приступить к трудовой деятельности не получилось. Сразу после УЗИ парня направили в стационар детской городской клинической больницы № 1. Снимок показал: левая почка настолько огромная, что её невозможно измерить специальным прибором.
Мальчик попал к детскому хирургу-урологу Ирине Живолуп. Медик быстро выявила гидронефроз. Это заболевание, при котором расширяется полостная система почки из-за нарушения оттока мочи. Что в свою очередь приводит к увеличению размеров почки, снижению её функции и риску развития серьёзных осложнений.

К сожалению, болезнь может долгое время протекать бессимптомно, как это и было у этого пациента. Но на профосмотре быстро нашли подозрительную аномалию. Юноше сразу провели операцию по удалению воспалённой почки, пока эта патология не привела к тяжёлым последствиям. Через небольшие проколы орган и скопившуюся жидкость вывели из брюшной полости.
Можно ли было избежать удаления органа?
Ситуация, при которой абсолютно здоровый молодой человек теряет почку, шокирует. Сразу хочется понять: реально ли было обойтись более щадящими методами?
«В данном случае существовал риск разрыва полостной системы почки, развития перитонита и внутрибрюшного кровотечения. Соответственно, исход непредсказуем», — ответила Ирина Живолуп.
Попади Михаил к врачу, когда появилось бы первое недомогание, неизвестно, какие осложнения его могли ожидать. Но, даже при такой серьёзности ситуации, осознание необходимости операции далось нелегко:
«Решение об оперативном лечении принято после подтверждения диагноза, это на вторые сутки после госпитализации. Безусловно, сомнения в пользу операции со стороны пациента и его близких были. Но, получив все ответы на свои вопросы, родители дали согласие на органоуносящую операцию», — рассказывает врач.

Миша идёт на поправку, уже в скором времени он сможет выйти на работу, как и хотел изначально. Жить ему придётся с одной почкой, но медики успокаивают — это парный орган, и, если что-то случается с одним, второй спокойно берёт на себя все функции.
Как защититься от страшного воспаления?
Как нам пояснила Ирина Живолуп, те, кто боятся подобного воспаления, должны понимать, что просто так оно не появится.
Гидронефроз, как объясняет уролог, не самостоятельная болезнь. Он возникает вторично из-за другой патологии органов мочевыводящей системы, брюшной полости или малого таза. Как правило, поражается одна почка, реже встречается двусторонний гидронефроз.
Гидронефроз может быть врождённым. К примеру, если мочевыделительная система плода развилась с аномалиями, с сужением лоханочно-мочеточникового отдела, нейромышечной дисплазии или из-за сдавливания мочеточника сосудистыми структурами. Также гидронефроз может быть приобретённым, как следствие рубцовых изменений после воспалительного процесса или операций, а также после образования камней в почках и опухоли.
Большую часть из этих причин предугадать невозможно, поэтому стоит чаще проверять здоровье.